網膜静脈閉塞症 もうまくじょうみゃくへいそくしょう
網膜静脈閉塞症の症状例
- 急に視力が低下
- 視野の一部が黒っぽい
- 目がかすむ
- むくみや軽い出血
軽い出血の場合は自覚症状がなく、検診で初めて発見されることもあります。
網膜静脈閉塞症とはどんな病気?
動脈硬化症、高血圧などの生活習慣病や、血管の炎症などが原因で網膜の血管が詰まって出血する病気です。出血は1,2年続きます。その間網膜が水ぶくれ(浮腫)を起こしてしまいますので、それが視界の中心にかかれば視力が下がります。水ぶくれを放置すると視力が下がったままになってしまいます。血管閉塞を繰り返すことは滅多にありませんが、動脈硬化や高血圧が激しいと繰り返す場合もあります。詰まった範囲が広いと、将来悪性の緑内障になることがあります。
動脈硬化によって静脈の流れがせき止められ、血流障害、乱流が起こります。
血管の内側の壁が荒れて、血栓ができます。静脈は、末梢側でうっ血しています。
網膜静脈閉塞症の種類
網膜静脈分枝閉塞症(BRVO)
網膜内の静脈が詰まってしまう病気。
網膜中心静脈閉塞症(CRVO)
視神経内で静脈が詰まってしまう病気。網膜静脈閉塞症の重症型です。
網膜静脈閉塞症はどのような人に多いの?
男性では40代以降、女性では50代以降に、加齢とともに発症しやすくなります。
高血圧や動脈硬化と深い関連がある病気です。
網膜静脈閉塞症の検査方法
視力検査
視力低下がないか確認します。
眼底検査
眼底の網膜の状態を調べます。眼底出血の状態や浮腫などがないか確認します。
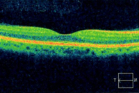
網膜断層検査(光干渉断層計 OCT)
近赤外線を利用して網膜の断面の状態を調べます。網膜のむくみや新生血管などが観察できます。
網膜静脈閉塞症の治療方法
網膜の水ぶくれが中心にかかっていれば、水ぶくれの原因物質を中和するアバスチンという薬を注射したり、原因物質を拡散させるために硝子体手術を行ったりします。また、将来悪性の緑内障にならないように血管の詰まった部分をレーザーで焼きます。当院の光干渉断層計で、水ぶくれが中心にかかっているかどうかの判定が確実にできます。
抗VEGF療法(抗血管新生療法)
VEGFというのは、静脈内に閉塞が起きたときにつくられ、静脈から網膜へ水分を出そうとする強い働きをもつ物質です。
抗VEGF療法は、このVEGFの働きを抑える薬剤を眼内に注射することにより、黄斑浮腫を抑制する治療法です。
レーザー治療
レーザーにて網膜を焼き固めて水分を溜めないようにします。
外科的治療(硝子体手術)
黄斑浮腫が長期間持続する場合には、硝子体を除去する手術を行います。
手術は術後の安静が必要になるので入院設備があって経験豊富な医師がいる病院を紹介することになります。
